Gallery
Annotated examples, training images, and reference materials organized by dataset and category.
BANC
Brain and Nerve CordFull brain and ventral nerve cord dataset providing complete CNS connectivity.
Soma Arrangement (Color Overlay)
Dense cluster of cell bodies with color segmentation overlay. Each unique color represents an individually segmented soma.
Single Soma (Color Overlay)
Individual neuronal soma highlighted with color segmentation overlay, showing the cell body boundary and surrounding neighbors.
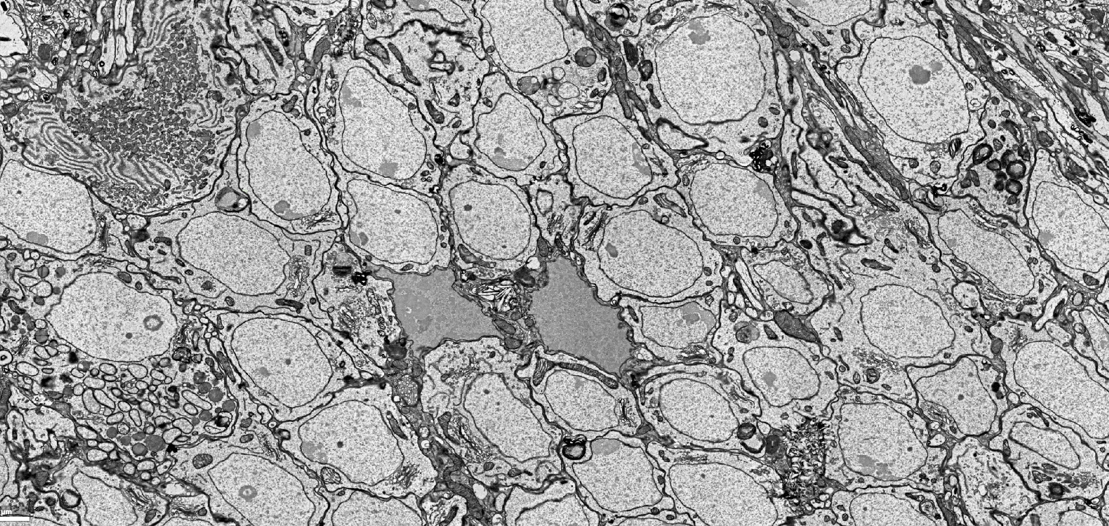
Dense Soma Region
Region densely packed with neuronal cell bodies. Nuclei and surrounding neuropil visible throughout.
Sparse Soma Region
Region with fewer, well-separated cell bodies surrounded by extensive neuropil.
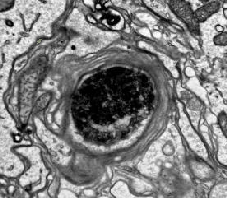
Dark Soma (Possible Glia)
Darkly stained cell body with electron-dense cytoplasm, possibly glial in origin. Note the distinct contrast difference from surrounding neurons.
Large Soma with Organelles
Exceptionally large neuronal soma rich in organelles including prominent nucleus, endoplasmic reticulum, and mitochondria.
Large Soma with Organelles (View 2)
Second perspective of a large soma showing dense organelle packing. Note the extensive rough endoplasmic reticulum and clustered mitochondria.
Large Soma with Organelles (View 3)
Third view highlighting the scale of a large neuronal soma relative to surrounding neurites and neuropil.
Possibly Myelinated Soma
Soma with an unusually thick membrane border, potentially myelinated. Note: horizontal line artifact from monitor capture is also visible.
Thick Membrane Border
Soma enclosed by an unusually thick, electron-dense membrane layer. Possible myelination of a cell body — an uncommon but documented feature. Is this a thing?
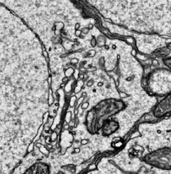
Golgi Apparatus and Organelles
Golgi apparatus visible alongside mitochondria, cisternae, microvesicles, and vacuoles near a soma. Cell membrane border clearly delineated.
Golgi Apparatus (Detail)
Close-up view of Golgi apparatus showing stacked cisternae and associated vesicles within the cytoplasm.
Membrane Whorls and Golgi Apparatus
Large, heavily stained membrane whorls alongside Golgi apparatus and various organelles within or near a cell body.
Dense Organelle Cluster Near Soma
Heavily stained organelles including mitochondria clustered near a soma. Note the high electron density contrasting with surrounding cytoplasm.
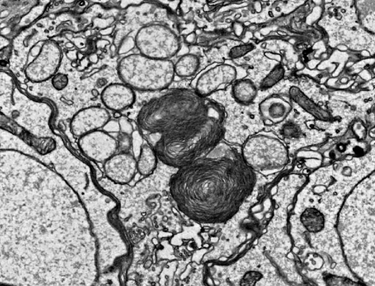
Membrane Whorl
Concentric membrane whorl forming a spiral pattern. These lamellar structures are occasionally encountered and may represent myelin figures or autophagic bodies.
Membrane Spirals (Close-up)
High-magnification view of concentric membrane spirals. The tightly wound lamellae create a distinctive fingerprint-like pattern.
Orphan Mitochondria Cluster
Isolated cluster of mitochondria and heavily stained myelin-like material. Appears to be an orphan object disconnected from a parent structure.
Orphan Mitochondria Cluster (With Context)
Same orphan cluster shown with surrounding neuropil, dataset coordinates, and layer information for reference.
Heavily Stained Dark Organelles
Multiple organelles with abnormally heavy staining producing high-contrast, electron-dense profiles. Green horizontal line is a monitor capture artifact. Not sure where that comes from, hmm.
Unidentified Dense Body
Dense, heavily stained structure of uncertain identity — possibly an organelle or a localized section artifact. Differential diagnosis is challenging at this magnification.
Lipid Droplets
Cluster of lipid droplets (fat globules) appearing as electron-dense spherical inclusions. Commonly found near cell bodies.
Staining Anomaly with Micro Tear
Heavily stained structure with irregular contrast and a small tear visible within a strange organelle. Combines staining artifact with minor physical damage.
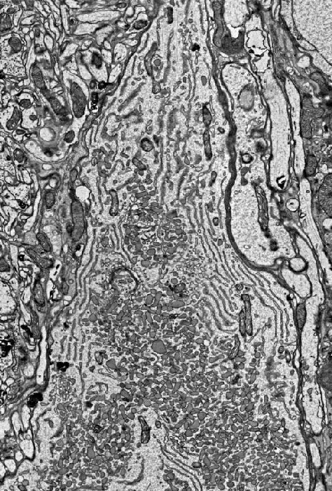
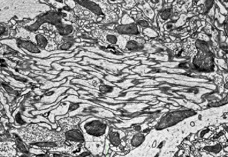
Parallel Axon Bundle
Bundle of neurites sectioned in the parallel plane, probably axonal. Note the uniform elongated profiles and consistent diameter.
Section Damage
Physical damage to the tissue section visible as a dark linear disruption. Green arrows indicate affected regions. Do not annotate across damaged areas.
Missing Section
Gap in tissue where a slice is absent, creating a void (black region). Green arrows point to the boundary. Data is unrecoverable in these areas.
Membrane Blowout
Localized membrane blowout where tissue has ruptured outward, creating a washed-out void. Green outline marks the affected boundary.
Section Pinch
Tissue compression artifact where the section was pinched during preparation, creating artificial convergence of structures.
Section Stretch
Stretching artifact showing tissue pulled along one axis. Green arrows indicate the direction of distortion. Structures appear elongated and thinned.
Section Tear
Linear tear through the tissue section creating a clean void. Green arrows mark the tear boundaries. Do not trace structures across the gap.
Resin Tear
Tear occurring within the embedding resin rather than the tissue itself. Shows clean break edges characteristic of resin fracture.
Section Folds (Overview)
Zoomed-out view of the central brain region showing prominent section folds crossing the tissue. Dark diagonal lines are folded-over tissue creating doubled layers.
Folds with Rippling
Zoomed-out view showing section folds accompanied by wavy, faded rippling patterns. Tissue appears distorted across a large area.
Severe Section Folds
Extreme folding artifact with multiple overlapping fold layers creating near-total data loss in affected regions.
Staining Artifact
Uneven heavy metal staining producing localized dark deposits that obscure underlying ultrastructure.
Splotch Artifact
Irregular dark splotching at section boundaries, likely from staining contamination or resin pooling during preparation.
Combined Defects: Staining, Fold, Lipid Droplets
Multiple artifacts in one region: uneven staining, tissue fold (dark diagonal band), and scattered lipid droplets (fat globules).
Lipid Droplets (Section Artifact)
Scattered lipid droplets (fat globules) appearing as dark spherical inclusions. Green arrows highlight individual droplets. Can be confused with biological structures.
Multiple Section Errors (Central Chiasm)
Central chiasm region exhibiting multiple simultaneous defects: large tissue distortions, folds, and torn areas. Severely compromised data integrity.
Section Cracks (aka Lightning™)
Zoomed-out view showing branching cracks propagating across the section. Nicknamed “lightning” for their characteristic branching pattern.
Multiple Section Errors (Overview)
Panoramic view showing a convergence of defect types: folds, cracks, pinch artifacts, and a missing section — all in one region.
FAFB 2019
FlyWireFull Adult Fly Brain dataset. Primary source for Drosophila connectomics research.
T-bar Synapse
Classic T-bar morphology with platform structure, dense body visible in cross-section.
Elongated T-bar
Extended platform variant. Note the longer horizontal extent compared to standard T-bars.
Multiple T-bars (Smudge)
Clustered synapses appearing as smudge-like shapes. Common in regions of high synaptic density.
Reference Materials
TrainingProtocol reference images and training materials from expert annotators.
GT Protocol Reference 6
Ambiguous cases and decision criteria for edge cases.
Cell Segmentation Visual Glossary
82 figuresVisual reference for hand-painting cell segmentations — myelin padding, membranes, glia, mitochondria, synapses, and common imaging defects. Source: Cell Segmentation Visual Glossary v1.0 (Selden Koolman).
Visual Glossary — fig 1
A reference figure from the Cell Segmentation Visual Glossary illustrating a hand-painting segmentation rule or example (myelin, membrane, glia, mitochondria, or an imaging defect).
Visual Glossary — fig 2
A reference figure from the Cell Segmentation Visual Glossary illustrating a hand-painting segmentation rule or example (myelin, membrane, glia, mitochondria, or an imaging defect).
Visual Glossary — fig 3
A reference figure from the Cell Segmentation Visual Glossary illustrating a hand-painting segmentation rule or example (myelin, membrane, glia, mitochondria, or an imaging defect).
Visual Glossary — fig 4
A reference figure from the Cell Segmentation Visual Glossary illustrating a hand-painting segmentation rule or example (myelin, membrane, glia, mitochondria, or an imaging defect).
Myelin sheath folds (EM)
High-resolution EM cross-section of a myelinated axon showing the folds between the outer and inner tongues of the myelin sheath and the surrounding glia — a reference for how to pad segmentation around myelin.
Fat globule / membrane swirl
An ambiguous region — likely a fat globule or membrane swirl — where one segment sits inside another with no clear border between them, illustrating two distinct segments that are easy to mistake for one.
Visual Glossary — fig 7
A reference figure from the Cell Segmentation Visual Glossary illustrating a hand-painting segmentation rule or example (myelin, membrane, glia, mitochondria, or an imaging defect).
Segmentation question (yellow circle)
A submitted example asking how to handle the region circled in yellow — a borderline call for where one segment ends and another begins.
Segmentation question (purple circle)
A submitted example asking how to handle the region circled in light purple — another ambiguous segmentation boundary.
Possible fat globule artifact
A likely fat globule or imaging artifact that can be mistaken for cellular structure during voxel painting.
Possible fat globule artifact
A fat globule or imaging artifact — a reminder that not every dark blob is a segmentable structure.
Possible fat globule artifact
Another fat globule or imaging artifact shown for comparison.
Visual Glossary — fig 13
A reference figure from the Cell Segmentation Visual Glossary illustrating a hand-painting segmentation rule or example (myelin, membrane, glia, mitochondria, or an imaging defect).
Visual Glossary — fig 14
A reference figure from the Cell Segmentation Visual Glossary illustrating a hand-painting segmentation rule or example (myelin, membrane, glia, mitochondria, or an imaging defect).
Visual Glossary — fig 15
A reference figure from the Cell Segmentation Visual Glossary illustrating a hand-painting segmentation rule or example (myelin, membrane, glia, mitochondria, or an imaging defect).
Long thin axon (3D)
A 3D segmentation of a long, thin axon backbone rendered in Neuroglancer.
Axon bundle cross-section
A perpendicular-plane cut through an axonal bundle, showing many axons in cross-section.
Axon bouton (2D)
An axonal bouton highlighted in a 2D EM slice.
Axon bouton neurite (3D)
A 3D render of an axonal neurite carrying a bouton.
Axon–dendrite synapse
An example synapse between an axon and the backbone of another cell — presumably a dendrite, and possibly an inhibitory synapse onto the shaft.
Myelinated axon among boutons
A myelinated axon surrounded by other axonal boutons.
Myelinated axons, two cut planes
Two myelin-wrapped axons captured in the same field — one cut in the parallel plane and one in the perpendicular plane.
Annotated synapse (vesicles + axon)
An annotated EM image of a synapse, with the vesicle cluster and presynaptic axon labelled.
Annotated synapse site
An annotated EM image pointing out the vesicles and axon at a synaptic site.
Annotated synapse site
Another annotated synaptic site with the vesicles and axon called out.
Branch point (3D mesh)
A 3D mesh of part of a cell in Neuroglancer, centred on the backbone where an axon-like branch splits off.
Backbone with organelles
A large slice through a cell's backbone showing microtubules along with ER and lysosomes or mitochondria.
Bouton chain at branch tips
The tips of an axonal branch showing a chain of boutons, alongside a branch with none — likely flagging a spot that needs more proofreading.
Neurite inside glia (autophagy)
An EM view of a neurite enclosed within a glial cell, illustrating how a neurite can end where it was being broken down during imaging — likely autophagy.
Slender axonal branch (3D)
A slender, probably axonal neuronal branch rendered in 3D.
Small branch, 2D + 3D
A neuron shown side by side in 2D and 3D, with a perpendicular-plane view of one of its small branches.
Branch split / axon hillock
A branch split point shown in 2D and 3D side by side, possibly marking where the axon hillock sits.
Synapse sites (yellow circles)
An EM field with yellow circles highlighting several synaptic areas.
Synapses with large PSDs
An EM field with blue arrows pointing to synapses that have large postsynaptic densities.
Annotated axon–dendrite synapse
An annotated image showing a dendrite, an axon, and the point where they synapse.
Annotated axon–dendrite synapse
Another annotated axon-to-dendrite synapse with the partners labelled.
Spine head onto axon (3D)
A 3D view of a dendritic spine head synapsing onto the backbone of an axon.
Axon–dendrite synapse (2D, overlay)
A 2D EM slice with the synapsing axon and dendrite picked out by segmentation overlay.
Axon–dendrite synapse (2D, overlay)
Another 2D slice with the synapsing axon and dendrite highlighted.
Axon–dendrite synapse (raw EM)
A 2D synapse between an axon and dendrite shown on raw EM with no segmentation overlay.
Axon–dendrite synapse (2D)
A 2D EM view of an axon and dendrite synapsing.
Parallel-plane synapse smudge
A parallel-plane synapse between axon and dendrite, showing the characteristic 'smudge' that forms where the synaptic gap runs in-plane with the cut.
Parallel-plane synapse (overlay)
A parallel-plane axon–dendrite synapse with segmentation overlay.
Axon–dendrite synapse (3D)
A 3D render of an axon and dendrite synapsing.
Synaptic gap / PSD (pink arrow)
A 2D axon–dendrite synapse with a pink arrow pointing at the synaptic gap and postsynaptic density.
Synaptic gap / PSD (pink arrow)
Another 2D synapse with a pink arrow marking the synaptic gap and PSD.
Synapse (bounding box)
A small bounding box highlighting a single synapse.
Synapse (bounding box)
Another bounding-box highlight around a synapse.
Uncertain synapse (annotated)
An annotated 2D EM image of a highlighted segment where the annotator was unsure whether a synapse was present.
Synapse indicators (orange arrows)
A 2D synapse with the axon highlighted and orange arrows pointing to the features that confirm it — vesicles, PSD, and so on.
Neuronal soma (EM)
A clean, high-quality EM image of a neuronal soma.
Soma organelles (zoom)
A zoomed-in view of the organelles inside a soma.
Soma organelles (zoom)
Another zoomed-in view of soma organelles.
Soma, 2D + 3D
A soma shown side by side in 2D EM and 3D.
Morphology reference plate
A textbook-style reference plate describing cell morphology, annotating 3D renders for many of the glossary's terms.
Large soma
A large neuronal soma.
Many somas
A field containing many somas.
Glia, 2D + 3D
A glial cell shown side by side in 2D and 3D.
Glia (3D)
A glial cell rendered in 3D.
Glia, possible merger (3D)
A large mass of glia in 3D — possibly a merger of several glial cells.
Large glia merger
A large glia merger.
Glia outline (2D)
A glial cell traced with a dotted outline in 2D.
Annotated glia
An annotated EM image of glial cells.
Glia outline (2D)
Another glial cell traced with a dotted outline in 2D.
Glia from multiple angles
A large EM collage of a single glial cell viewed from several angles.
Synapses + glia reference
A collage of synapses with the glia highlighted in some frames — a quick reference for spotting glia at a glance.
Glia highlight comparison
The same EM view shown twice, side by side, with the glia highlighted in one and not the other.
Folded glial membranes
A 2D-and-3D pair showing the layers of membrane glia form when folded into one another.
Myelinated axon cross-cut (HD)
A high-definition 2D cross-cut of a myelinated neuron.
Myelinated axon cross-cut
A 2D cross-cut of a myelinated neuron.
Myelinated axon cross-cut (HD)
Another high-definition 2D cross-cut of a myelinated neuron.
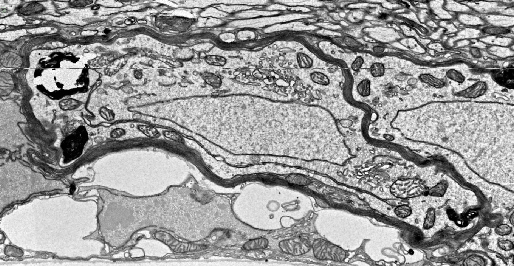
Blood vessel
A large EM image of a blood vessel.
Blood vessel
Another large EM image of a blood vessel.
Glial soma + dense organelle
A 2D view of what appears to be a glial soma containing a very densely stained organelle.
Membrane swirl
A membrane swirl.
Membrane swirl / artifact
A membrane swirl or imaging error, possibly involving a fat globule.
Three mitochondria
Three mitochondria shown together in cross-section — a clean reference for mitochondrial membrane texture and staining.
Mitochondrion (parallel cut)
A mitochondrion captured in the parallel plane.
Mitochondrion (perpendicular cut)
A mitochondrion captured in the perpendicular plane.
Mitochondria
More mitochondria shown for reference.
Mitochondria (arrow field)
A field of arrows pointing to several mitochondria, used as a training aid for spotting them.
Dark spots in myelinated axon
Red circles highlight a questionable dark-spot pattern inside a myelinated axon — likely imaging errors caused by fat globules.
Optic Lobe Cell Name Guide
58 figuresNaming reference for Drosophila optic-lobe cell types, with Fischbach atlas plates, light microscopy, and 3D examples (Dm, Tm, TmY, LC, Y types). Source: Optic Lobe Cell Name Guide (Amy Robinson).
Title fly cartoon
An illustrated cartoon fly opening the Optic Lobe Cell Name Guide.
Lightbulb menu options
A screenshot of the lightbulb menu's drop-down list of options.
Fischbach cell-type collage
A collage of the canonical optic-lobe cell types reproduced from the Fischbach reference, used as a visual naming key.
3D neuropil + cell names
A collage of 3D neuropil renders labelled with cell names, showing where each cell type sits.
Medulla / lamina layering
A side view of the medulla and lamina illustrating the region's layered structure and the tightly stratified layers individual cell types occupy.
Dm cell lattice patterns
Dm cells shown together, illustrating their structural variations and the lattice-like patterns they form across the medulla.
Dm type examples (3D)
A large panel of 3D examples spanning the different Dm cell types.
Medulla layers + photoreceptors
A Fischbach plate showing the layers of the medulla and the photoreceptor cells.
Mi / TmY / Li cells (Fischbach)
A Fischbach plate showing medulla-intrinsic, trans-lobula-plate, and lobula-intrinsic cells.
Lawf / Lai cells (Fischbach)
A Fischbach plate showing Mawf1, Lawf2, and Lai cells and where they innervate.
Dm / Pm / Lcn cells (Fischbach)
A Fischbach plate showing Dm cells along with Pm, Lcn, Lt, and TLp cells.
Fischbach reference plate
A reference plate from the Fischbach optic-lobe atlas of Drosophila cell types.
Fischbach reference plate
A reference plate from the Fischbach optic-lobe atlas of Drosophila cell types.
Fischbach reference plate
A reference plate from the Fischbach optic-lobe atlas of Drosophila cell types.
Fischbach reference plate
A reference plate from the Fischbach optic-lobe atlas of Drosophila cell types.
Layer innervation (light micro.)
A light-microscopy image showing the various layers and the neurons that innervate at specific layers.
Tm5 subtypes (3D)
3D renders illustrating the small differences between the Tm5 subtypes.
Fischbach reference plate
A reference plate from the Fischbach optic-lobe atlas of Drosophila cell types.
Fischbach reference plate
A reference plate from the Fischbach optic-lobe atlas of Drosophila cell types.
Whole Tm neuron (3D)
A complete Tm neuron rendered in 3D.
Fischbach reference plate
A reference plate from the Fischbach optic-lobe atlas of Drosophila cell types.
Fischbach reference plate
A reference plate from the Fischbach optic-lobe atlas of Drosophila cell types.
Fischbach reference plate
A reference plate from the Fischbach optic-lobe atlas of Drosophila cell types.
Fischbach reference plate
A reference plate from the Fischbach optic-lobe atlas of Drosophila cell types.
TmY14 + subtype
TmY14 shown side by side with a possible subtype.
TmY innervation variation
A cartoon showing how a TmY subtype can vary by where it innervates.
TmY14
A render of the TmY14 cell.
TmY15
A render of the TmY15 cell.
TmY15
Another render of the TmY15 cell.
TmY16
A render of the TmY16 cell.
TmY18
A render of the TmY18 cell.
TmY cell variety
A panel showing a variety of TmY cells together.
TmY20
A render of the TmY20 cell.
Tm cells (light micro.)
Light-microscopy images of Tm cells.
Fischbach reference plate
A reference plate from the Fischbach optic-lobe atlas of Drosophila cell types.
Fischbach reference plate
A reference plate from the Fischbach optic-lobe atlas of Drosophila cell types.
Y11 (light micro.)
A light-microscopy image of the Y11 cell.
Y12 (light micro.)
A light-microscopy image of the Y12 cell.
OL Cell Name Guide — fig 39
A reference figure from the Optic Lobe Cell Name Guide for identifying and naming Drosophila optic-lobe cell types.
Fischbach reference plate
A reference plate from the Fischbach optic-lobe atlas of Drosophila cell types.
Fischbach reference plate
A reference plate from the Fischbach optic-lobe atlas of Drosophila cell types.
Fischbach reference plate
A reference plate from the Fischbach optic-lobe atlas of Drosophila cell types.
LC cell variety (Fischbach)
A Fischbach plate showing the variety of LC (lobula columnar) cells.
Mt cells (Fischbach)
A Fischbach plate showing Mt cells.
Fischbach reference plate
A reference plate from the Fischbach optic-lobe atlas of Drosophila cell types.
Fischbach reference plate
A reference plate from the Fischbach optic-lobe atlas of Drosophila cell types.
Fischbach reference plate
A reference plate from the Fischbach optic-lobe atlas of Drosophila cell types.
LC + LT cells
A figure showing LC (lobula columnar) and LT (lobula tangential) cells.
OL Cell Name Guide — fig 49
A reference figure from the Optic Lobe Cell Name Guide for identifying and naming Drosophila optic-lobe cell types.
OL Cell Name Guide — fig 50
A reference figure from the Optic Lobe Cell Name Guide for identifying and naming Drosophila optic-lobe cell types.
OL Cell Name Guide — fig 51
A reference figure from the Optic Lobe Cell Name Guide for identifying and naming Drosophila optic-lobe cell types.
OL Cell Name Guide — fig 52
A reference figure from the Optic Lobe Cell Name Guide for identifying and naming Drosophila optic-lobe cell types.
OL Cell Name Guide — fig 53
A reference figure from the Optic Lobe Cell Name Guide for identifying and naming Drosophila optic-lobe cell types.
OL Cell Name Guide — fig 54
A reference figure from the Optic Lobe Cell Name Guide for identifying and naming Drosophila optic-lobe cell types.
OL Cell Name Guide — fig 55
A reference figure from the Optic Lobe Cell Name Guide for identifying and naming Drosophila optic-lobe cell types.
OL Cell Name Guide — fig 56
A reference figure from the Optic Lobe Cell Name Guide for identifying and naming Drosophila optic-lobe cell types.
OL Cell Name Guide — fig 57
A reference figure from the Optic Lobe Cell Name Guide for identifying and naming Drosophila optic-lobe cell types.
OL Cell Name Guide — fig 58
A reference figure from the Optic Lobe Cell Name Guide for identifying and naming Drosophila optic-lobe cell types.
Fly Synapses
29 figuresEM examples of fly synapses and their indicators — dense vesicle clusters, synaptic clefts, T-bars, and postsynaptic densities. Source: Optional – Fly synapses (FlyWire @ Princeton).
Synaptic region (EM)
An EM view of a fly synaptic region.
Synaptic region (EM)
Another EM view of a fly synaptic region.
Fly Synapse — fig 3
An EM example of a fly synapse showing the key indicators: a dense vesicle cluster, synaptic cleft, T-bar, and postsynaptic density.
Fly Synapse — fig 4
An EM example of a fly synapse showing the key indicators: a dense vesicle cluster, synaptic cleft, T-bar, and postsynaptic density.
Fly Synapse — fig 5
An EM example of a fly synapse showing the key indicators: a dense vesicle cluster, synaptic cleft, T-bar, and postsynaptic density.
Fly Synapse — fig 6
An EM example of a fly synapse showing the key indicators: a dense vesicle cluster, synaptic cleft, T-bar, and postsynaptic density.
Fly Synapse — fig 7
An EM example of a fly synapse showing the key indicators: a dense vesicle cluster, synaptic cleft, T-bar, and postsynaptic density.
Fly Synapse — fig 8
An EM example of a fly synapse showing the key indicators: a dense vesicle cluster, synaptic cleft, T-bar, and postsynaptic density.
Fly Synapse — fig 9
An EM example of a fly synapse showing the key indicators: a dense vesicle cluster, synaptic cleft, T-bar, and postsynaptic density.
Fly Synapse — fig 10
An EM example of a fly synapse showing the key indicators: a dense vesicle cluster, synaptic cleft, T-bar, and postsynaptic density.
Dense-core vesicles
A fly synapse example highlighting dense-core vesicles among the usual indicators (vesicle cluster, cleft, T-bar, PSD).
Vesicles binding
A fly synapse example showing vesicles binding at the release site, alongside the cleft, T-bar, and PSD.
Fly Synapse — fig 13
An EM example of a fly synapse showing the key indicators: a dense vesicle cluster, synaptic cleft, T-bar, and postsynaptic density.
Fly Synapse — fig 14
An EM example of a fly synapse showing the key indicators: a dense vesicle cluster, synaptic cleft, T-bar, and postsynaptic density.
Fly Synapse — fig 15
An EM example of a fly synapse showing the key indicators: a dense vesicle cluster, synaptic cleft, T-bar, and postsynaptic density.
Fly Synapse — fig 16
An EM example of a fly synapse showing the key indicators: a dense vesicle cluster, synaptic cleft, T-bar, and postsynaptic density.
Fly Synapse — fig 17
An EM example of a fly synapse showing the key indicators: a dense vesicle cluster, synaptic cleft, T-bar, and postsynaptic density.
Fly Synapse — fig 18
An EM example of a fly synapse showing the key indicators: a dense vesicle cluster, synaptic cleft, T-bar, and postsynaptic density.
Fly Synapse — fig 19
An EM example of a fly synapse showing the key indicators: a dense vesicle cluster, synaptic cleft, T-bar, and postsynaptic density.
Fly Synapse — fig 20
An EM example of a fly synapse showing the key indicators: a dense vesicle cluster, synaptic cleft, T-bar, and postsynaptic density.
Fly Synapse — fig 21
An EM example of a fly synapse showing the key indicators: a dense vesicle cluster, synaptic cleft, T-bar, and postsynaptic density.
Fly Synapse — fig 22
An EM example of a fly synapse showing the key indicators: a dense vesicle cluster, synaptic cleft, T-bar, and postsynaptic density.
Fly Synapse — fig 23
An EM example of a fly synapse showing the key indicators: a dense vesicle cluster, synaptic cleft, T-bar, and postsynaptic density.
Fly Synapse — fig 24
An EM example of a fly synapse showing the key indicators: a dense vesicle cluster, synaptic cleft, T-bar, and postsynaptic density.
Fly Synapse — fig 25
An EM example of a fly synapse showing the key indicators: a dense vesicle cluster, synaptic cleft, T-bar, and postsynaptic density.
Synapse GT painting extent
A fly synapse annotated to show how much to paint for synapse ground-truth — the extent of the vesicle cluster, cleft, T-bar, and PSD.
Fly Synapse — fig 27
An EM example of a fly synapse showing the key indicators: a dense vesicle cluster, synaptic cleft, T-bar, and postsynaptic density.
Fly Synapse — fig 28
An EM example of a fly synapse showing the key indicators: a dense vesicle cluster, synaptic cleft, T-bar, and postsynaptic density.
Fly Synapse — fig 29
An EM example of a fly synapse showing the key indicators: a dense vesicle cluster, synaptic cleft, T-bar, and postsynaptic density.
FlyWire Cheatsheet
16 figuresQuick-reference pages of FlyWire proofreading keyboard shortcuts and commands. Source: FlyWire Cheatsheet (flywire@princeton).
FlyWire Cheatsheet — fig 1
A page from the FlyWire proofreading cheatsheet — keyboard shortcuts and command reference for working in the FlyWire interface.
FlyWire Cheatsheet — fig 2
A page from the FlyWire proofreading cheatsheet — keyboard shortcuts and command reference for working in the FlyWire interface.
FlyWire Cheatsheet — fig 3
A page from the FlyWire proofreading cheatsheet — keyboard shortcuts and command reference for working in the FlyWire interface.
FlyWire Cheatsheet — fig 4
A page from the FlyWire proofreading cheatsheet — keyboard shortcuts and command reference for working in the FlyWire interface.
FlyWire Cheatsheet — fig 5
A page from the FlyWire proofreading cheatsheet — keyboard shortcuts and command reference for working in the FlyWire interface.
FlyWire Cheatsheet — fig 6
A page from the FlyWire proofreading cheatsheet — keyboard shortcuts and command reference for working in the FlyWire interface.
FlyWire Cheatsheet — fig 7
A page from the FlyWire proofreading cheatsheet — keyboard shortcuts and command reference for working in the FlyWire interface.
FlyWire Cheatsheet — fig 8
A page from the FlyWire proofreading cheatsheet — keyboard shortcuts and command reference for working in the FlyWire interface.
FlyWire Cheatsheet — fig 9
A page from the FlyWire proofreading cheatsheet — keyboard shortcuts and command reference for working in the FlyWire interface.
FlyWire Cheatsheet — fig 10
A page from the FlyWire proofreading cheatsheet — keyboard shortcuts and command reference for working in the FlyWire interface.
FlyWire Cheatsheet — fig 11
A page from the FlyWire proofreading cheatsheet — keyboard shortcuts and command reference for working in the FlyWire interface.
FlyWire Cheatsheet — fig 12
A page from the FlyWire proofreading cheatsheet — keyboard shortcuts and command reference for working in the FlyWire interface.
FlyWire Cheatsheet — fig 13
A page from the FlyWire proofreading cheatsheet — keyboard shortcuts and command reference for working in the FlyWire interface.
FlyWire Cheatsheet — fig 14
A page from the FlyWire proofreading cheatsheet — keyboard shortcuts and command reference for working in the FlyWire interface.
FlyWire Cheatsheet — fig 15
A page from the FlyWire proofreading cheatsheet — keyboard shortcuts and command reference for working in the FlyWire interface.
FlyWire Cheatsheet — fig 16
A page from the FlyWire proofreading cheatsheet — keyboard shortcuts and command reference for working in the FlyWire interface.
Optic Lobe Cell Diagrams
16 diagramsFull-resolution Drosophila optic-lobe cell-type morphology renders — Dm, Tm, Mti, SDm, Y, and LPi types. Source: Diagrams – Layers (Kyle Willie).
Dm102b_6
Morphology render of the Drosophila optic-lobe cell type Dm102b_6.
Dm2a
Morphology render of the Drosophila optic-lobe cell type Dm2a.
Dm2b
Morphology render of the Drosophila optic-lobe cell type Dm2b.
Dm3p
Morphology render of the Drosophila optic-lobe cell type Dm3p.
Dm4
Morphology render of the Drosophila optic-lobe cell type Dm4.
Dm9
Morphology render of the Drosophila optic-lobe cell type Dm9.
LPi-T5b-DCH (LPi2-1f)
Morphology render of the Drosophila optic-lobe cell type LPi-T5b-DCH (LPi2-1f).
Mti123_37_anterior
Morphology render of the Drosophila optic-lobe cell type Mti123_37 (anterior view).
Mti123_37_side
Morphology render of the Drosophila optic-lobe cell type Mti123_37 (side view).
Mti123_37_ventral
Morphology render of the Drosophila optic-lobe cell type Mti123_37 (ventral view).
Mti123_37
Morphology render of the Drosophila optic-lobe cell type Mti123_37.
Mti124_67
Morphology render of the Drosophila optic-lobe cell type Mti124_67.
SDm100c_67
Morphology render of the Drosophila optic-lobe cell type SDm100c_67.
SDm103_34567
Morphology render of the Drosophila optic-lobe cell type SDm103_34567.
Tm8b
Morphology render of the Drosophila optic-lobe cell type Tm8b.
Y11
Morphology render of the Drosophila optic-lobe cell type Y11.
Image Bounty List
WantedWe're looking for good examples of these structures and phenomena. Have an image you want to share? Submit it on GitHub.